Menu
Contact right yellow circle arrow right white circle arrow 01527 362 000 right yellow circle arrow right white circle arrow

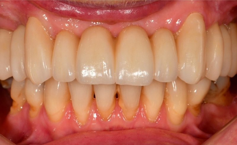
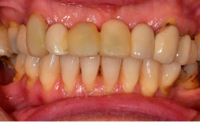
A smile makeover is a fully customised procedure to address any cosmetic issues with your teeth.

Our dentists provide “facially-driven cosmetic dental treatment”, which takes your complete facial features into account.

Your smile makeover can address everything from tooth discolouration and misshapen teeth to tooth alignment and cracked and chipped teeth. Your dentist will carry out a full examination of your teeth and produce a fully costed treatment plan outlining how we can enhance your smile. Once we have your approval and you have requested any changes to the plan, we can go ahead and start the journey towards your new smile and renewed confidence.

The Benefits of a Smile Makeover

  • Streamlined digital treatment: At Bromsgrove Dental Specialists, our dentists are focused on smile design using digital planning software. This makes a huge difference in the accuracy of the results, the treatment time, the predictability and the durability of the results.
  • Fully customised: Our dentists are great listeners, which we believe is an essential trait for delivering exactly what our patients wish for and expect. We will do everything we can to best meet your needs, taking the time to listen to you and find the right cosmetic solution for you.
  • Enhanced confidence: Your teeth are one of your most defining traits. A smile makeover can give you the confidence to smile again in public, in photos, and in the mirror.

How it works

We will take you through the various treatments available for addressing the aesthetic concerns you have about your teeth. Once you have approved the consultation plan presented by your dentist, we can proceed by taking digital impressions. If you are having treatment using composite or porcelain (for composite bonding and/or veneers), we will produce a trial smile and make any small adjustments necessary to meet your needs as closely as possible.

Contact us for more information regarding this treatment.

Online Booking right white circle arrow right yellow circle arrow

Contact

Get in touch

FAQs

Frequently asked questions

We understand that choosing the right dental treatment can come with many questions. To help you feel informed and confident in your care, we’ve answered some of the most commonly asked questions about this treatment. Our friendly team is always here to help if you need further information.

Which treatments are included with a Smile Makeover?

A smile makeover can include a combination of any of the following (depending on your needs):

Why choose Bromsgrove Dental Specialists?

At Bromsgrove Dental Specialists, our dentists have years of experience performing cosmetic dental treatment that suits your unique facial features. We are one of the few practices in the area to have a digital 3d facial scanner. This produces a highly accurate 3d model of the patient’s face and analyses the relationship between the jaw, teeth, and facial structure.

We offer non-clinical appointments that you can attend before committing to a consultation. These are non-obligation appointments, giving you the chance to decide if we are a good fit for you and if we can meet your needs accordingly.

If you are feeling a little nervous about treatment, we offer IV (intravenous) sedation, which many of our patients describe as ‘magic’ for managing their phobia and nerves.

We care for many patients who come in to see us after failed dental work elsewhere, and we pride ourselves on finding solutions for you (even if you have been denied treatment in the past or something might not have gone to plan at another dental practice). We will always find a way forward for you.

Bromsgrove Dental Specialists icon

Book Your Consultation Today!

Take the first step toward a healthier, more confident smile with our skilled dental team.

Online Booking right white circle arrow right yellow circle arrow
Back to Cosmetic Dentistry left yellow circle arrow left white circle arrow

Social Media

Follow Us