Menu
Contact right yellow circle arrow right white circle arrow 01527 362 000 right yellow circle arrow right white circle arrow

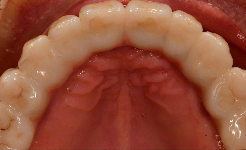
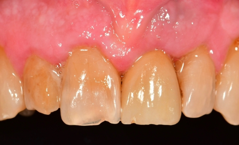
Crafting natural-looking crowns and dental onlays is one of our strengths at Bromsgrove Dental Specialists.

We use the most aesthetic and biocompatible materials, so your new crown will be more than just a new ‘crown’—it will be a new tooth that camouflages your natural smile.

A Crown is like a cap for a tooth, indicated when the tooth has sustained moderate-to-severe damage. It covers all the weakened parts of the damaged tooth, thus strengthening the remaining tooth structure and restoring its aesthetics.

Meanwhile, an onlay is indicated when the tooth has sustained mild-to-moderate damage, so a filling is insufficient for long-term, durable restoration. Still, the damage is not severe enough for a crown, so they are the halfway point between a filling and a crown.

Our clinicians use the highest-quality materials that provide solid functionality without compromising beautiful aesthetics. These materials complement your smile and facial profile because smile design is about more than just your teeth—a holistic process encompassing your whole face!

Contact us for more information regarding this treatment.

Online Booking right white circle arrow right yellow circle arrow

Contact

Get in touch

Bromsgrove Dental

The Benefits of Crowns and Onlays

  • Protection: Our crowns and onlays are ultra-durable, protecting damage from escalating further and giving your tooth a new lease of life after decay or injury.
  • Aesthetic improvement: Crowns and onlays can address the aesthetic damage caused by decay and injuries, covering misshapen and discoloured areas of dental enamel. Our crowns are made of ceramic and porcelain, known for their enamel-like properties.
  • Improve chewing and biting: Crowns and onlays create a tooth with which you can freely bite down and chew on foods of all textures.
  • Crowns and onlays are a remedy for discomfort. They address pain caused by decay and injury, which can be debilitating.

FAQs

Frequently asked questions

We understand that choosing the right dental treatment can come with many questions. To help you feel informed and confident in your care, we’ve answered some of the most commonly asked questions about this treatment. Our friendly team is always here to help if you need further information.

Why choose Bromsgrove Dental Specialists?

Bromsgrove Dental Specialists is one of the few dental practices in the area to offer same-day crowns and onlays using 3d printing technology. On the day of treatment, you can go home with a brand-new tooth.

Not only does this reduce the number of appointments needed to get a crown or onlay, but you won’t have to endure decay or dental injury for a moment longer. As soon as your dentist has taken digital scans of your teeth and discussed the aesthetics of your new crown/onlay, you can sit in the waiting room while your new crown is being printed.

If you’re feeling a little nervous about treatment, we offer IV (intravenous) sedation, which many of our patients describe as ‘magic’ for managing their phobia and nerves.

We care for many patients who come in to see us after failed dental work elsewhere, and we pride ourselves on finding solutions for you (even if you have been denied treatment in the past or something might not have gone to plan at another dental practice). We will always find a way forward for you.

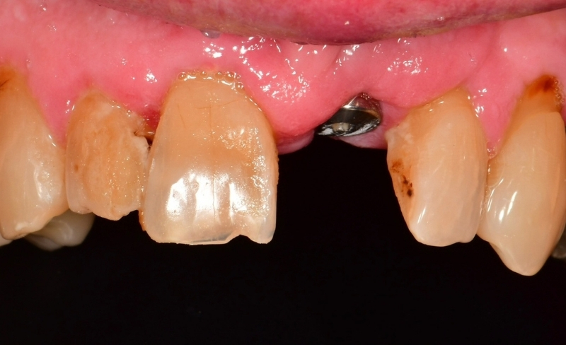
Why do I need a crown or onlay?

A crown is, first and foremost, a restorative solution for dental decay and injuries. Their main job is to protect your teeth and restore damage that has occurred.

When moderate or severe dental decay has created a cavity (hole) in your teeth, a filling is rarely enough to tackle the issue and provide long-term preservation.

Before your crown is fitted, your dentist at Bromsgrove Dental Specialists will carefully remove the decayed portion of the tooth, causing complications.

Crowns are needed for patients who:

  • Have undergone root canal treatment in the posterior (back) teeth
  • Have severe dental decay or a dental injury (serious crack or chip)
  • Have had an implant placed (the crown provides the tooth-like aspect that sits above the gum line)

How long will my crown last for?

The lifespan of a crown is determined by several factors, one of which is the experience and skills of the dentist performing treatment. Here at Bromsgrove Dental Specialists, our dentists are known for an exacting level of attention to detail. We also thrive on meeting (and exceeding) our patients’ expectations, so you can expect fantastic results (don’t take our word for it, though – take a look at our patient reviews).

Your crown can last for 15+ years with a good at-home oral hygiene routine and regular dentist and hygienist check-ups by limiting your sugar and teeth-staining food and drink intake and avoiding biting on foreign objects.

What is the difference between a crown and an onlay?

Whilst a crown repairs damage to the whole surface of a tooth, onlays deal with damage to smaller, more localised areas of a tooth.

Onlays require less removal of natural tooth structure, so if we can use an onlay in place of a crown, we will do so (we will always try to preserve as much dental structure as possible).

Bromsgrove Dental Specialists icon

Book Your Consultation Today!

Take the first step toward a healthier, more confident smile with our skilled dental team.

Online Booking right white circle arrow right yellow circle arrow
Back to General Dentistry left yellow circle arrow left white circle arrow

Social Media

Follow Us