Menu
Contact right yellow circle arrow right white circle arrow 01527 362 000 right yellow circle arrow right white circle arrow
right yellow circle arrow right white circle arrow

Case 1 – Dental Implants

All - on - 4 Upper and lower arch The patient presented with a loose upper denture and lower broken-down…

Explore right yellow circle arrow right white circle arrow

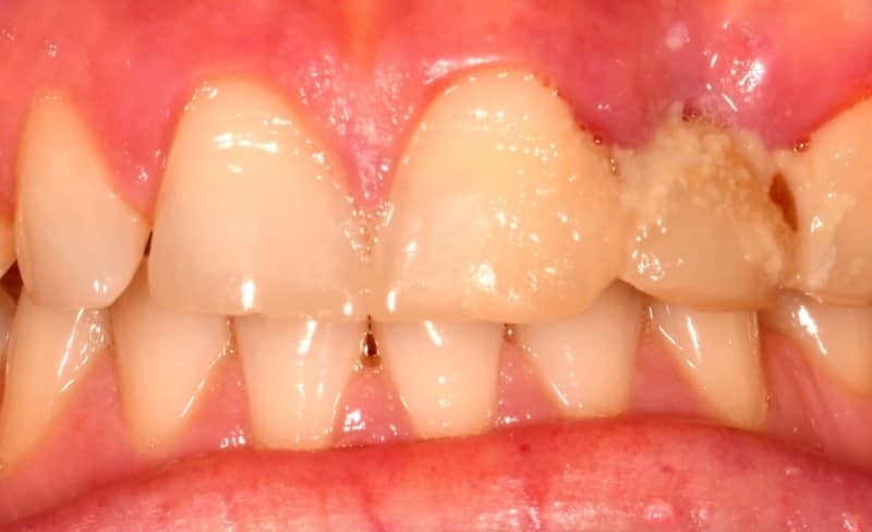
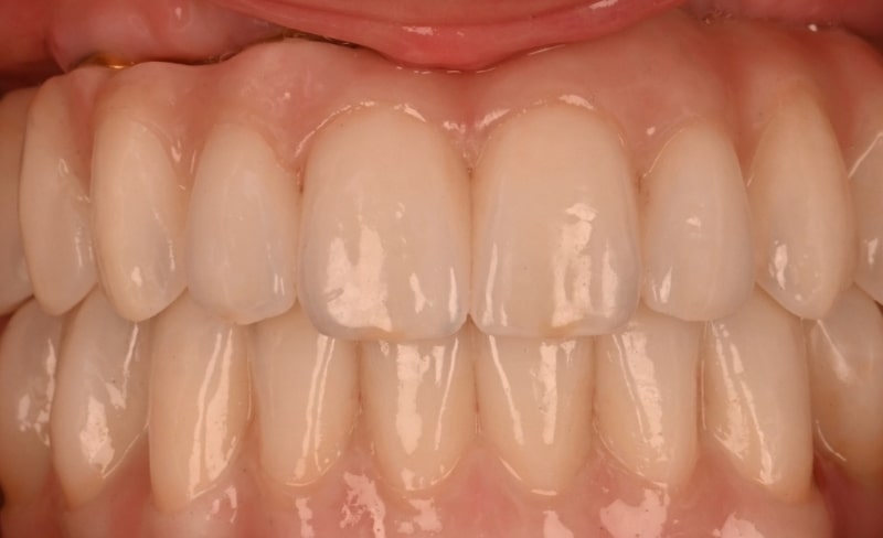
Case 2 Veneers

Following periodontal treatment, the patient wanted to improve the appearance of his teeth. We provided veneers for his upper teeth…

Explore right yellow circle arrow right white circle arrow

Case 3 Dental Implants

Replacement of missing tooth with an implant and composite bonding to improve the shape and sizes of the upper front…

Explore right yellow circle arrow right white circle arrow

Case 4 Dental Implants

Replacing a missing front tooth with a dental implant to provide a harmonious result.

Explore right yellow circle arrow right white circle arrow

Case 5 Smile Makeover

Upper arch makeover, including veneers, crowns and bridges, as well as soft tissue grafting to enhance the long-term health of…

Explore right yellow circle arrow right white circle arrow

Case 6 Teeth Whitening

Teeth whitening, including internal whitening of a dark front tooth.

Explore right yellow circle arrow right white circle arrow

Testimonials

Patient Testimonials

Hear from our happy patients about their smile transformations.

Explore right yellow circle arrow right white circle arrow
google thumb
star

After childhood, in the 1960s and early ’70s, my teeth were filled multiple times, and they started to break and crumble. I had all my teeth removed under...

Richard P.

google thumb
star

I began the treatment with much trepidation, as this was a significant undertaking for me. From the start, I found Gurwinder very appreciative of my situation. Throughout the...

Nigel B.

google thumb
star

Well, here I go, I have never been a fan of writing reviews, but in this instance, I am willing to make an exception. Why? I felt that...

Glyn M.

google thumb
star

My appointment was a one-hour assessment to determine the best course of action for addressing my damaged molar. Initially apprehensive, I felt optimistic by the end. Dr Dhesi...

Phillip T.

Contact

Get in touch

Bromsgrove Dental Specialists icon

Book Your Consultation Today!

Take the first step toward a healthier, more confident smile with our skilled dental team.

Online Booking right white circle arrow right yellow circle arrow

Social Media

Follow Us