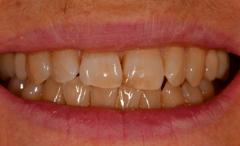
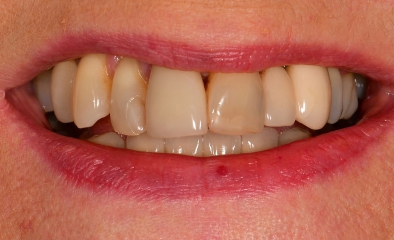
In establishing this practice, the patient journey has been at the heart of every decision. We take pride in delivering high-quality, patient-focused care, using cutting-edge techniques to achieve optimal oral health and long-lasting results. Whether you require complex restorative work or specialist treatment for a specific dental concern, our team is here to offer tailored solutions in a professional and welcoming environment.
Your smile deserves specialist care—let us help you achieve the best possible outcome.
Explore
Dr Gurwinder Dhesi is our principal dentist. He has trained in some of the best hospitals in the UK and worked in many of the best clinics in London, allowing him to gain a wealth of experience and knowledge, before moving back to Birmingham with his young family. Now, he is bringing all his expertise, premium quality dentistry and advanced knowledge to your doorstep in Bromsgrove, to serve the community and the surrounding areas.
ExploreMissing teeth? Our specialist dental implants restore your smile with natural-looking, long-lasting results. Eat, speak, and smile with confidence.
ExploreGet a new smile in just one day with our specialist Teeth in a Day treatment. Secure, natural-looking teeth—no waiting, no hassle.
ExploreExperienced professionals delivering exceptional care and results.
Hear from our happy patients about their smile transformations.
ExploreTake the first step toward a healthier, more confident smile with our skilled dental team.
Online Booking