Menu
Contact right yellow circle arrow right white circle arrow 01527 362 000 right yellow circle arrow right white circle arrow

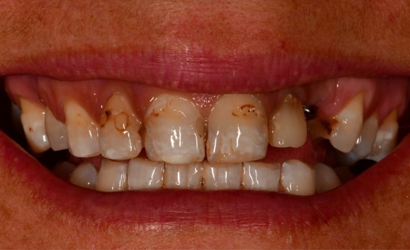
If you’ve been considering ways to transform your smile, veneers are a long-term and natural answer.

With hand-shaped pieces of high-grade porcelain, we can address everything from cracks in your teeth to gaps, minor overlapping issues, discolouration, and misshapen teeth.

Veneers are made to fit over the front surface of individual teeth. We apply them using strong dental cement. Their application is sometimes compared to how a false nail covers a real nail to enhance its appearance.

The Benefits of Veneers

Bespoke brilliance: At Bromsgrove Dental Specialists, we harness the capability of digital smile design. Your dentist will look closely at the characteristics of each individual tooth and then use porcelain to craft a veneer that enhances the beauty of your smile.

Results that keep giving: Porcelain is known for its strength and durability. With good care, porcelain veneers can last as many as 10 years. It is also highly stain-resistant.

Versatile: Veneers can address multiple cosmetic issues all at once, including:

  • Smile uniformity and symmetry.
  • The shape of each tooth (they can produce a better width-to-height ratio).
  • The shade of each tooth (porcelain copies the way that real tooth enamel reflects light).

Contact us for more information regarding this treatment.

Online Booking right white circle arrow right yellow circle arrow

Contact

Get in touch

FAQs

Frequently asked questions

We understand that choosing the right dental treatment can come with many questions. To help you feel informed and confident in your care, we’ve answered some of the most commonly asked questions about this treatment. Our friendly team is always here to help if you need further information.

Why choose Bromsgrove Dental Specialists?

At Bromsgrove Dental Specialists, our dentists have years of experience using porcelain to produce natural-looking results for veneer patients.

Everything we do using porcelain is 100% bespoke; we consider all of your facial features and expectations of treatment before proceeding with your treatment.

If you are feeling a little nervous about treatment, we offer IV (intravenous) sedation, which many of our patients describe as ‘magic’ for managing their phobia and nerves.

We care for many patients who come in to see us after failed dental work elsewhere, and we pride ourselves on finding solutions for you (even if you have been denied treatment in the past or something might not have gone to plan at another dental practice). We will always find a way forward for you.

How long do veneers last?

There’s no fixed answer to this, but veneers can last 10 years. There are actions you can take each day to make sure you get the maximum amount of lifespan out of them, including:

  • Routine hygiene and dentist check-ups.
  • Avoid teeth-staining food and drink as much as you can/drink water after you consume these.
  • Protecting your teeth when playing contact sports (veneers are still prone to cracking like natural teeth).
Bromsgrove Dental Specialists icon

Book Your Consultation Today!

Take the first step toward a healthier, more confident smile with our skilled dental team.

Online Booking right white circle arrow right yellow circle arrow
Back to Cosmetic Dentistry left yellow circle arrow left white circle arrow

Social Media

Follow Us