Menu
Contact right yellow circle arrow right white circle arrow 01527 362 000 right yellow circle arrow right white circle arrow

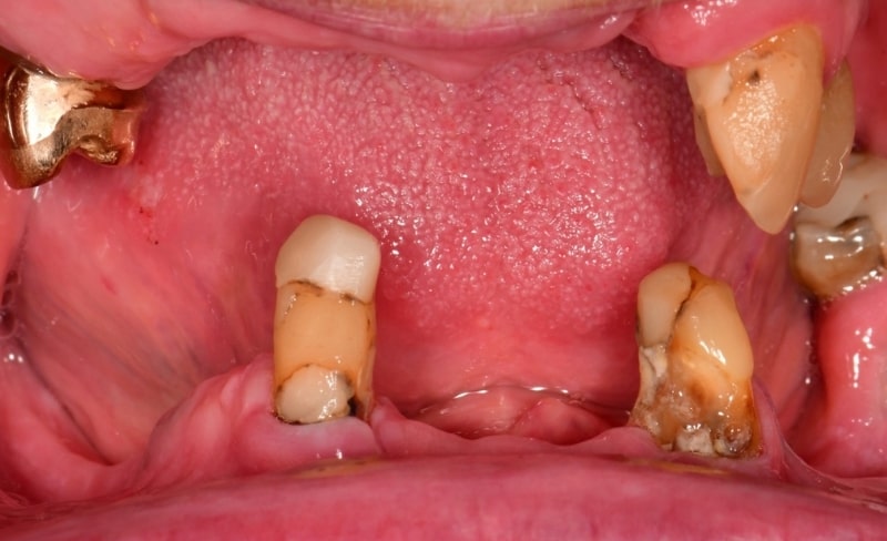
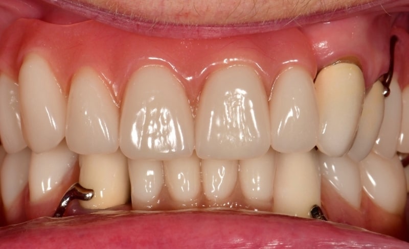
At Bromsgrove Dental Specialists, we always encourage our patients to seek tooth replacement treatment where clinically possible and appropriate.

We offer a range of options for missing teeth to suit different budgets, requirements and preferences.

Let’s get you smiling again.

Contact us for more information regarding this treatment.

Online Booking right white circle arrow right yellow circle arrow

Contact

Get in touch

FAQs

Frequently asked questions

We understand that choosing the right dental treatment can come with many questions. To help you feel informed and confident in your care, we’ve answered some of the most commonly asked questions about this treatment. Our friendly team is always here to help if you need further information.

Why should I replace missing teeth?

Replacing missing teeth, essential to chewing and biting, is a highly worthwhile undertaking. Whilst some teeth don’t need to be replaced (such as wisdom teeth), leaving gaps in your smile can start a chain reaction that leads to:

  • Difficulty in chewing.
  • Gum irritation.
  • Drifting teeth that move into the gaps left behind.
  • Jawbone loss.
  • Increased risk of decay and gum disease.

What are my options for replacing missing teeth?

We offer the following options for missing teeth:

  • Dentures are removable sets of teeth. They are a cost-effective option for patients with few (or none) of their own teeth remaining.
  • Dental bridges – a fixed solution for gaps on a single side of your mouth. We offer two types of bridges – resin-retained and conventional bridges.
  • Dental implants for single teeth – we offer same-day implants for individual missing teeth.
  • Dental implants for multiple missing teeth: We offer implant-supported bridges and implant-supported dentures for patients with missing teeth.
  • All-on-4 – we offer the renowned All-on-4 “Teeth in a Day” system.

Why choose Bromsgrove Dental Specialists?

At Bromsgrove Dental Specialists, our dentists have years of experience working with patients who need tooth replacement. We take our patients’ expectations very seriously—we know choosing to have a tooth replacement is a significant decision.

We have invested heavily in technology that gives patients the most stress-free treatment journey. Our digital treatment methods simplify everything—from impression-taking and sterilisation during implant surgery to on-site 3d printing, allowing us to make your restorations quickly but efficiently.

If you are feeling a little nervous about treatment, we offer IV (intravenous) sedation, which many of our patients describe as ‘magic’ for managing their phobia and nerves.

We care for many patients who come in to see us after failed dental work elsewhere, and we pride ourselves on finding solutions for you (even if you have been denied treatment in the past or something might not have gone to plan at another dental practice). We will always find a way forward for you.

Bromsgrove Dental Specialists icon

Book Your Consultation Today!

Take the first step toward a healthier, more confident smile with our skilled dental team.

Online Booking right white circle arrow right yellow circle arrow
Back to Dental Implants left yellow circle arrow left white circle arrow

Social Media

Follow Us