Menu
Contact right yellow circle arrow right white circle arrow 01527 362 000 right yellow circle arrow right white circle arrow

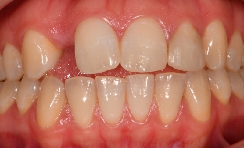
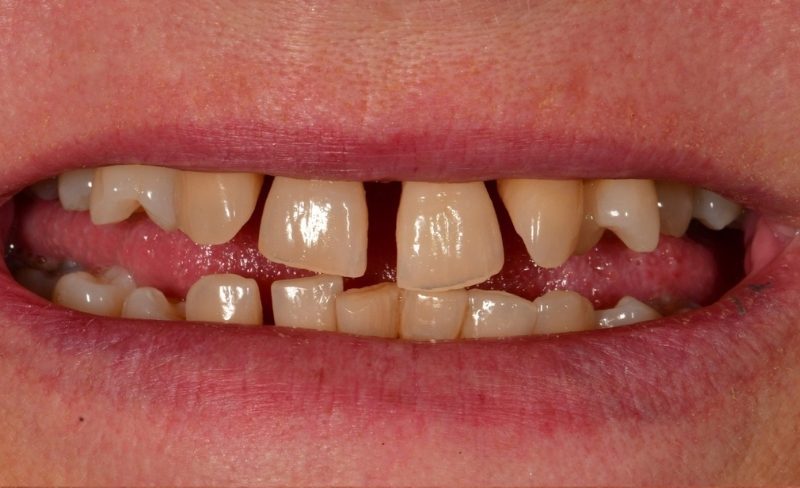
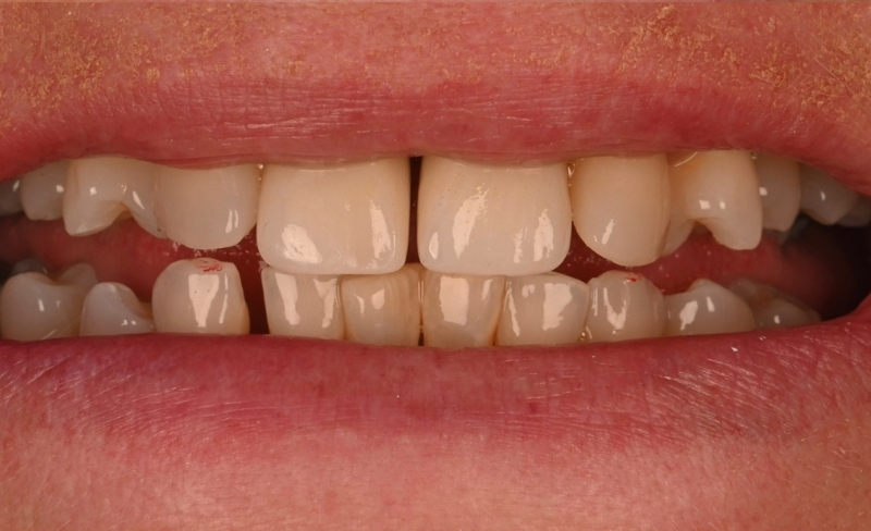
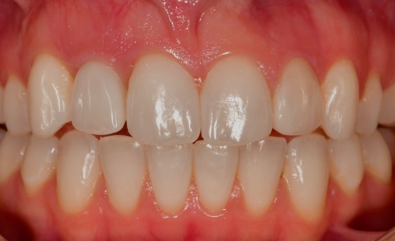
Composite bonding is a simple solution for smile enhancement, which you may have heard a lot about.

Renowned for its aesthetic results and minimally invasive nature, composite bonding involves applying tooth-coloured resins to the edges of teeth. It enhances individual teeth and can also be used to improve multiple teeth, a procedure known as a Smile Makeover.

Composite bonding addresses chipped, cracked and misshapen teeth, but we can also close tiny gaps between each tooth to achieve a uniform smile.

The Benefits of Composite Bonding

  • Focus on natural results: At Bromsgrove Dental Specialists, our dentists use digital planning software to design smiles. Your dentist will adhere pieces of composite resin to each tooth, improving its height-to-width ratio and overall symmetry.
  • No invasive techniques: Composite bonding is a patient-friendly procedure that does not involve drilling the teeth. Anaesthesia is also often not necessary, and your dentist will very rarely need to remove tooth structure prior to placing the resins.
  • Single appointment treatment: Composite bonding can be completed in just one appointment. *If you are having multiple teeth treated, you may need more than one appointment.
  • Lasts for many years: Composite bonded resins can retain their shade and structure for 2-7 years, depending on how well you care for your teeth. Your dentist can provide the essential maintenance advice to ensure you get the most out of your treatment.

Contact us for more information regarding this treatment.

Online Booking right white circle arrow right yellow circle arrow

Contact

Get in touch

FAQs

Frequently asked questions

We understand that choosing the right dental treatment can come with many questions. To help you feel informed and confident in your care, we’ve answered some of the most commonly asked questions about this treatment. Our friendly team is always here to help if you need further information.

Why choose Bromsgrove Dental Specialists?

At Bromsgrove Dental Specialists, our dentists have years of experience working with composite to produce natural results for patients. Everything we do using composite is 100% bespoke; we take all of your facial features and expectations of treatment into account before moving on to perform your treatment.

Whilst composite bonding is a really minimally invasive process, if you are feeling a little nervous about treatment, we offer IV (intravenous) sedation, which many of our patients describe as ‘magic’ for managing their phobia and nerves.

We care for many patients who come in to see us after failed dental work elsewhere, and we pride ourselves on finding solutions for you (even if you have been denied treatment in the past or something might not have gone to plan at another dental practice). We will always find a way forward for you.

What is the composite bonding process like at Bromsgrove Dental Specialists?

Composite bonding can generally be completed in one appointment and without any drilling or anaesthetic.

Your dentist will apply the tooth-coloured resins to the individual teeth in question, sculpting them carefully into place by hand. The resin will then harden, and your dentist will polish them to give a beautiful, natural enamel-like finish.

 If you are seeking to alter the shade of all of your teeth alongside improving the structure of one or more individual teeth, we can perform teeth whitening prior to your composite bonding treatment. This will ensure your teeth are your desired shade; we can then perform composite bonding to match the resin to your newly whitened teeth (this is because composite can’t be whitened using whitening gel, so it needs to be carried out beforehand).

Bromsgrove Dental Specialists icon

Book Your Consultation Today!

Take the first step toward a healthier, more confident smile with our skilled dental team.

Online Booking right white circle arrow right yellow circle arrow
Back to Cosmetic Dentistry left yellow circle arrow left white circle arrow

Social Media

Follow Us