Menu
Contact right yellow circle arrow right white circle arrow 01527 362 000 right yellow circle arrow right white circle arrow

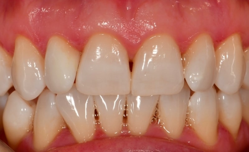
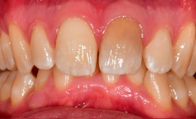
Bring your teeth’s natural white shade back with take-home teeth whitening treatment.

We work with Boutique and Enlighten, two of the UK’s most renowned whitening brands. These brands deliver beautiful results for patients in as little as a few weeks.

Take-home whitening involves a consultation following a set of digital scans. We can make the whitening trays in-house on the same day for boutique whitening. In the case of Enlighten whitening, we usually send the scans to their lab to create the trays.

Contact us for more information regarding this treatment.

Online Booking right white circle arrow right yellow circle arrow

Contact

Get in touch

FAQs

Frequently asked questions

We understand that choosing the right dental treatment can come with many questions. To help you feel informed and confident in your care, we’ve answered some of the most commonly asked questions about this treatment. Our friendly team is always here to help if you need further information.

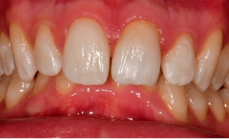
Which teeth whitening treatments do you offer?

We offer the UK’s two favourite teeth whitening brands, Enlighten and Boutique.

Enlighten is the only brand to guarantee a shade B1 (the whitest shade teeth will go naturally without the help of veneers). Enlighten is our premium whitening treatment, which we recommend to patients who want to dramatically transform their smile.

Boutique is an equally effective brand for whitening teeth, though it cannot guarantee a shade B1. We highly recommend Boutique for patients who want to make mild or moderate adjustments to their tooth shade.

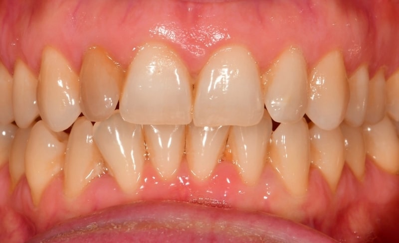
Why choose teeth whitening?

Teeth whitening is one of the easiest ways to improve the appearance of your teeth. No needles or drilling are involved, and results can be seen in a few days, although the whole process involves 2-3 weeks of whitening.

The resulting confidence that follows teeth whitening treatment can be life-changing. We hear from so many patients that they feel more comfortable appearing in photos, meeting new people, and looking in the mirror (which is always fantastic to hear).

Why choose Bromsgrove Dental Specialists?

At Bromsgrove Dental Specialists, our dentists have years of experience performing cosmetic dental treatments that suit your unique facial features.

Bromsgrove Dental Specialists icon

Book Your Consultation Today!

Take the first step toward a healthier, more confident smile with our skilled dental team.

Online Booking right white circle arrow right yellow circle arrow
Back to Cosmetic Dentistry left yellow circle arrow left white circle arrow

Social Media

Follow Us