Menu
Contact right yellow circle arrow right white circle arrow 01527 362 000 right yellow circle arrow right white circle arrow

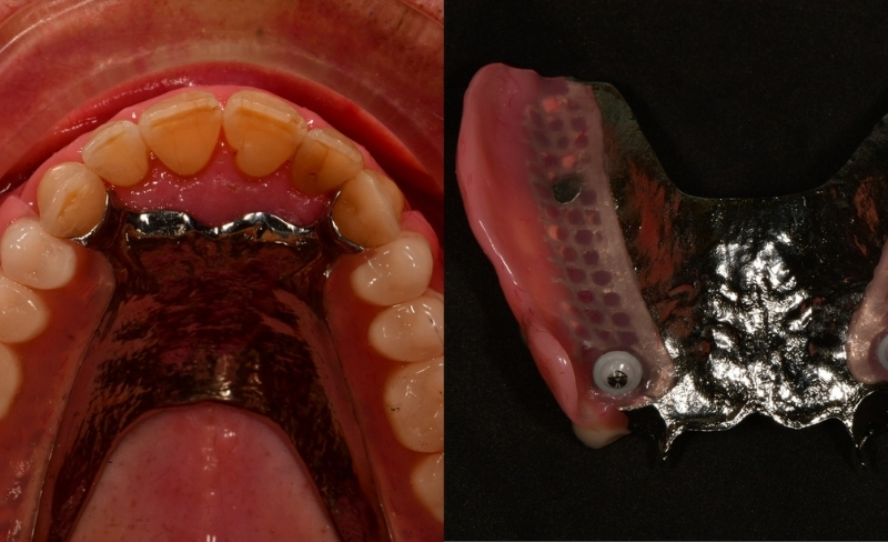
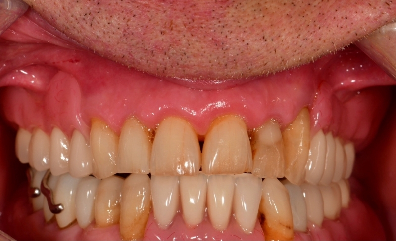
Upper and lower implant retained dentures and milled crowns to rehabilitate the patients smile.

For more information regarding this treatment
Contact right yellow circle arrow right white circle arrow Or call 01527 362 000
Back to Smile Gallery left yellow circle arrow left white circle arrow

Contact

Get in touch

Testimonials

Patient Testimonials

Hear from our happy patients about their smile transformations.

Explore right yellow circle arrow right white circle arrow
google thumb
star

After childhood, in the 1960s and early ’70s, my teeth were filled multiple times, and they started to break and crumble. I had all my teeth removed under...

Richard P.

google thumb
star

I began the treatment with much trepidation, as this was a significant undertaking for me. From the start, I found Gurwinder very appreciative of my situation. Throughout the...

Nigel B.

google thumb
star

Well, here I go, I have never been a fan of writing reviews, but in this instance, I am willing to make an exception. Why? I felt that...

Glyn M.

google thumb
star

My appointment was a one-hour assessment to determine the best course of action for addressing my damaged molar. Initially apprehensive, I felt optimistic by the end. Dr Dhesi...

Phillip T.

Bromsgrove Dental Specialists icon

Book Your Consultation Today!

Take the first step toward a healthier, more confident smile with our skilled dental team.

Online Booking right white circle arrow right yellow circle arrow

Social Media

Follow Us