Menu
Contact right yellow circle arrow right white circle arrow 01527 362 000 right yellow circle arrow right white circle arrow
right yellow circle arrow right white circle arrow

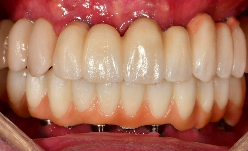
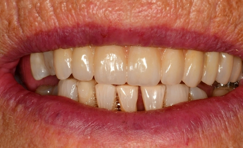
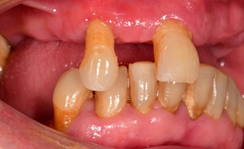
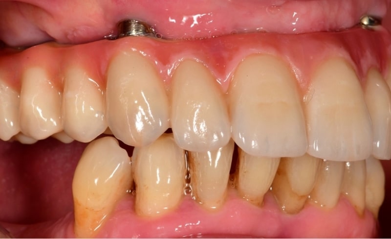
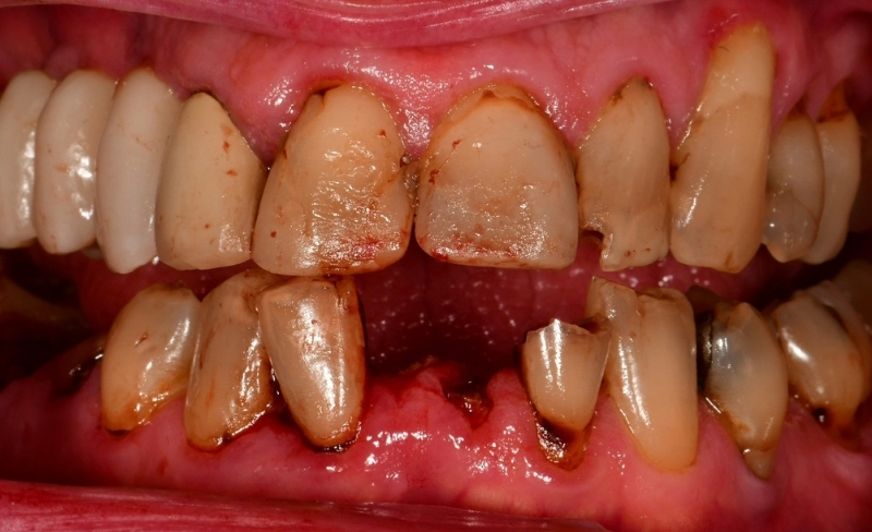
Case 1 – Dental Implants

All - on - 4 Upper and lower arch The patient presented with a loose upper denture and lower broken-down…

Explore right yellow circle arrow right white circle arrow

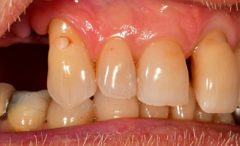
Case 3 Dental Implants

Replacement of missing tooth with an implant and composite bonding to improve the shape and sizes of the upper front…

Explore right yellow circle arrow right white circle arrow

Case 4 Dental Implants

Replacing a missing front tooth with a dental implant to provide a harmonious result.

Explore right yellow circle arrow right white circle arrow

Case 8 Smile Makeover

Full mouth rehabilitation utilising veneers, crowns and dental implants.

Explore right yellow circle arrow right white circle arrow

Case 9 Dental Implants

Upgrading the patient's existing dentures along with milled crowns to improve the fit of the new dentures.

Explore right yellow circle arrow right white circle arrow

Case 11 Single Tooth Implant

Single dental implant to provide a natural result.

Explore right yellow circle arrow right white circle arrow

Case 12 Invisalign®, composite bonding & dental implants

Invisalign®, composite bonding and dental implants.

Explore right yellow circle arrow right white circle arrow

Case 13 Invisalign®, composite bonding & dental implants

Invisalign® will open up the space for a dental implant, and composite bonding will fix the broken edge of a…

Explore right yellow circle arrow right white circle arrow

Case14 Smile Makeover

Upper arch smile makeover with crowns, veneers, onlays and a dental implant to replace a missing front tooth.

Explore right yellow circle arrow right white circle arrow

Case 15 Dental Implants All-on-4

Upper and lower all-on-4 dental implants to restore function and aesthetics.

Explore right yellow circle arrow right white circle arrow

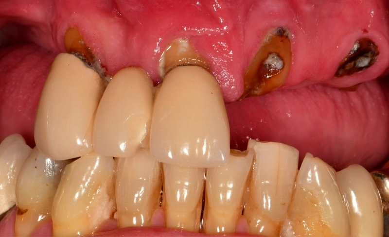
Case 16 Dental Implants All-on-4

Upper and lower all-on-4 to manage this failed dentition following severe periodontal disease.

Explore right yellow circle arrow right white circle arrow

Case 17 All-on-4 & Implant retained bridge

Upper arch all-on-4 dental implant retained bridge to provide a fixed solution for the patient.

Explore right yellow circle arrow right white circle arrow

Case 18 Smile Makeover

Smile makeover to manage the failing upper bridge using crowns, bridges and dental implants.

Explore right yellow circle arrow right white circle arrow

Case 19 Implant retained bridge & Crown

Implant retained crown and an implant retained bridge to replace the missing teeth, providing a natural result.

Explore right yellow circle arrow right white circle arrow

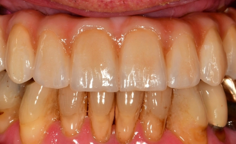
Case 20 Dental implants & composite bonding

Replacing the loose upper front teeth with dental implants and composite bonding to improve the shape of the canine teeth…

Explore right yellow circle arrow right white circle arrow

Case 22 Dental Implants All-on-4

Upper all-on-4 to provide the patient with fixed teeth in the upper jaw.

Explore right yellow circle arrow right white circle arrow

Case 23 Implant retained crowns

3 implant retained crowns to replace missing posterior teeth improving, the patient’s function and dental health.

Explore right yellow circle arrow right white circle arrow

Case 24 All-on-4, implant retained bridge & crown

Upper arch all-on-4 implant retained bridge and lower arch rehabilitation using crowns and bridges to provide a complete smile transformation…

Explore right yellow circle arrow right white circle arrow

Case 25 Implant retained bridge

Implant retained bridge to replace upper missing teeth.

Explore right yellow circle arrow right white circle arrow

Case 26 All-on-4 & implant retained bridge

Upper and lower implant retained bridges to manage this failing dentition with All-on-6 in the lower jaw and an implant…

Explore right yellow circle arrow right white circle arrow

Case 27 Implant retained bridge

Implant retained bridge to replace 2 missing posterior teeth using 1 implant.

Explore right yellow circle arrow right white circle arrow

Testimonials

Patient Testimonials

Hear from our happy patients about their smile transformations.

Explore right yellow circle arrow right white circle arrow
google thumb
star

After childhood, in the 1960s and early ’70s, my teeth were filled multiple times, and they started to break and crumble. I had all my teeth removed under...

Richard P.

google thumb
star

I began the treatment with much trepidation, as this was a significant undertaking for me. From the start, I found Gurwinder very appreciative of my situation. Throughout the...

Nigel B.

google thumb
star

Well, here I go, I have never been a fan of writing reviews, but in this instance, I am willing to make an exception. Why? I felt that...

Glyn M.

google thumb
star

My appointment was a one-hour assessment to determine the best course of action for addressing my damaged molar. Initially apprehensive, I felt optimistic by the end. Dr Dhesi...

Phillip T.

Contact

Get in touch

Bromsgrove Dental Specialists icon

Book Your Consultation Today!

Take the first step toward a healthier, more confident smile with our skilled dental team.

Online Booking right white circle arrow right yellow circle arrow

Social Media

Follow Us