Menu
Contact right yellow circle arrow right white circle arrow 01527 362 000 right yellow circle arrow right white circle arrow

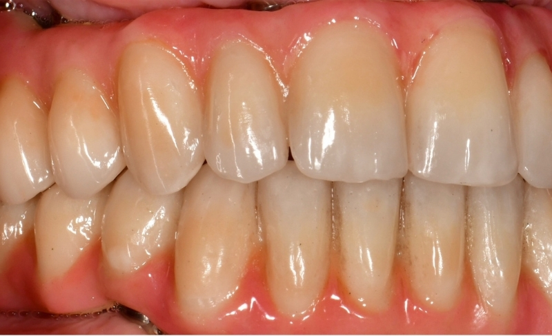
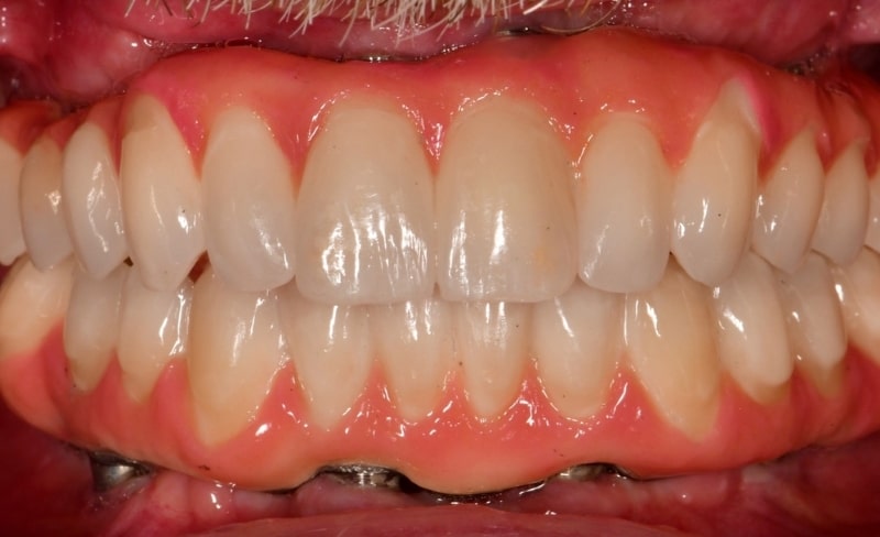
The All-on-4 implants protocol allows your dentist to provide you with a new set of teeth in just one appointment.

No more waiting around for months after implant surgery without functional teeth. In most cases, we can provide a set of teeth directly after the implants have been placed, which is why All-on-4 is often called ‘teeth-in-a-day’.

Dental implants are small titanium posts that your dentist places into the jawbone. All-on-4 uses four implants to fix a whole row of missing teeth in place above the gum line. The beauty of All-on-4 is that your dentist can angle the implants so that individual implants do not have to be used for individual teeth. Not only can this speed up the healing process, but it also renders the treatment more cost-effective overall.

The Benefits of All-On-4

  • A new smile in one appointment: Once your implant surgery is complete, your dentist can provide you with a temporary set of teeth—no waiting months without teeth for your long-term bridge to be ready. You’ll be able to bite and chew like normal until your new teeth are prepared.
  • Protection against bone loss: All-on-4 involves fitting implants that support your jaw. With new tooth root-like replacements in place, your jawbone is stimulated and nurtured, which prevents aesthetic facial changes that can prematurely age the face.
  • No more slipping dentures: With your new teeth firmly screwed into your implants, you will no longer experience problems with slipping dentures when you eat.
  • Enhanced confidence: Poorly looking teeth can leave you lacking in confidence. Many of our patients tell us that the most significant difference they notice is how much more they smile in public and that their confidence levels have grown since treatment.

Contact us for more information regarding this treatment.

Online Booking right white circle arrow right yellow circle arrow

Contact

Get in touch

FAQs

Frequently asked questions

We understand that choosing the right dental treatment can come with many questions. To help you feel informed and confident in your care, we’ve answered some of the most commonly asked questions about this treatment. Our friendly team is always here to help if you need further information.

Will my teeth look natural?

Yes. The implants allow your dentist to create a dental bridge that will sit in your mouth like a natural set of teeth.

Your new teeth are designed using high-grade, aesthetic materials and made with the help of our 3d digital scanner, which produces a highly accurate 3d model of your face and mouth.

Your dentist can then analyse the relationship between the jaw, teeth and facial structure and create a dental bridge that looks wholly natural.

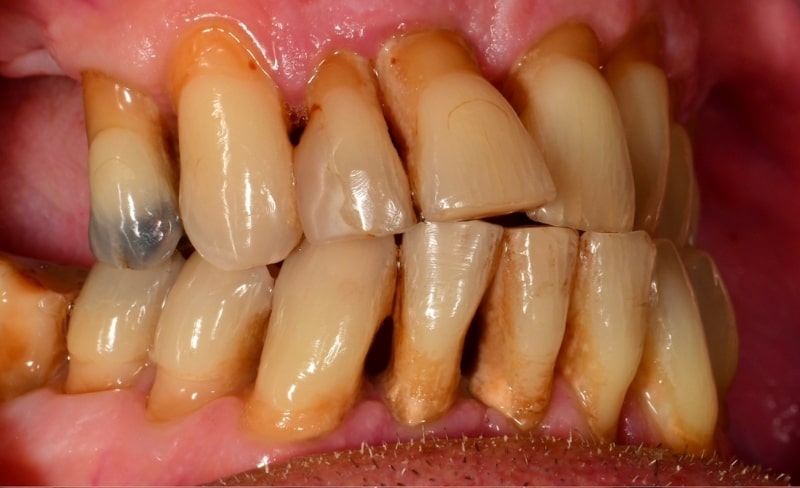
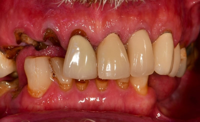
Who is suitable for All-on-4 treatment?

After your consultation, we will be able to tell you if you are a good candidate for All-on-4. The good news is that most people are now suited to treatment, as the nature of the All-on-4 system means that even patients with limited jawbone density can undergo treatment.

This said, some patients have very little jawbone and may need to undergo a procedure called a bone graft. This builds up new bone in the jaw over 3-9 months (your dentist will give you an accurate timeframe) so that you can go ahead with implant surgery very soon.

 

We recommend All-on-4 to patients who:

  • Have been struggling with ill-fitting and uncomfortable dentures.
  • They have multiple missing teeth, and all of their teeth are missing.
  • Have failing teeth affected by infection or gum disease.

Why choose Bromsgrove Dental Specialists?

At Bromsgrove Dental Specialists, our dentists have years of experience working with implant patients. We take our patients’ expectations very seriously—we know choosing to have a tooth replacement is a significant step.

We design and place your restoration teeth (the bridge on top of your implant above the gum) in the most nature-mimicking way possible. This leaves you with a long-term solution that will keep you smiling for years.

If you are feeling a little nervous about treatment, we offer IV (intravenous) sedation, which many of our patients describe as ‘magic’ for managing their phobia and nerves.

We care for many patients who come in to see us after failed dental work elsewhere, and we pride ourselves on finding solutions for you (even if you have been denied treatment in the past or something might not have gone to plan at another dental practice). We will always find a way forward for you.

Bromsgrove Dental Specialists icon

Book Your Consultation Today!

Take the first step toward a healthier, more confident smile with our skilled dental team.

Online Booking right white circle arrow right yellow circle arrow
Back to Dental Implants left yellow circle arrow left white circle arrow

Social Media

Follow Us